设为首页
|
加入收藏
导航
Open Menu
网站首页
馆藏标本
教学标本
教学切片
疾病科普
场馆布置
参观须知
联系我们
网站首页
馆藏标本
教学标本
教学切片
疾病科普
场馆布置
参观须知
联系我们
教学切片
高倍视野
低倍视野
教学切片
您所在的位置:
首页
教学切片
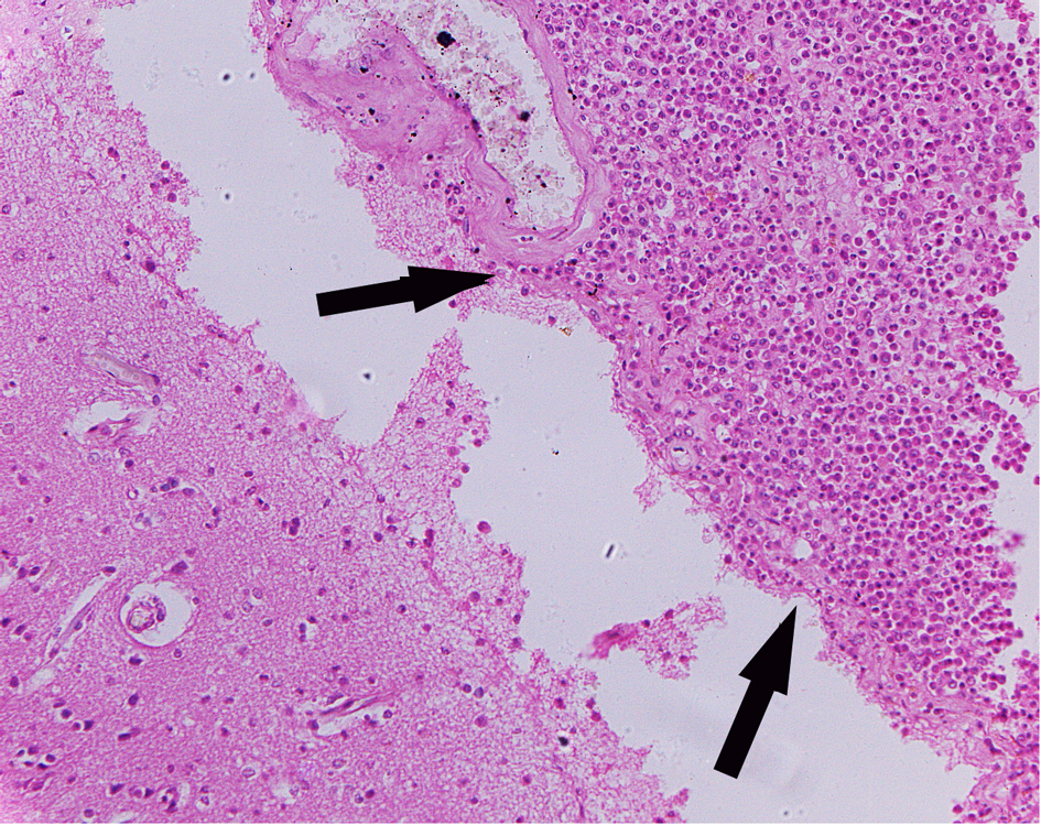
1.流行性脑脊髓膜炎
2021/06/12 15:19:13
Copy.Right@2014 2026年足球世界杯直播基础医学院病理学系
地址:上海市徐汇区医学院路138号东一号楼
友情链接:
上海市红十字会:http://www.redcross-sha.org/Home/
欢迎关注我们的
微信公众号
扫一扫
Copy.Right@2014 2026年足球世界杯直播基础医学院病理学系
地址:上海市徐汇区医学院路138号东一号楼
总访问量:
map