设为首页
|
加入收藏
导航
Open Menu
网站首页
馆藏标本
教学标本
教学切片
疾病科普
场馆布置
参观须知
联系我们
网站首页
馆藏标本
教学标本
教学切片
疾病科普
场馆布置
参观须知
联系我们
教学切片
高倍视野
低倍视野
教学切片
您所在的位置:
首页
教学切片
49. syphilitic aortitis
50. Labar pneumonia
51. Carnification of the lung
52. Lobular pneumonia
57. Carcinoma of the lung
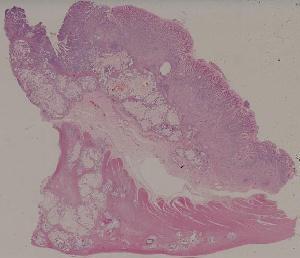
59. Chronic atrophic gastritis
60. Gastric ulcer
61. Gastric adenocarcinoma(Mucinous adenocarcinoma of the stamoch)
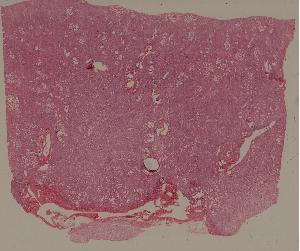
62. Acute viral hepatitis (common type)
63.Chronic active viral hepatitis
64. Acute fulminant viral hepatitis
65. Subacute fulminant viral hepatitis
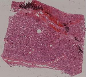
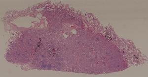
66. Active nodular cirrhosis of the liver
67. Inactive nodular cirrhosis of the liver
68. Biliary fibrosis
69. Hepatocellular carcinoma
72. Membranous glomerulonephritis
73. Acute glomerulonephritis
74. Crescentic glomerulonephritis
75. Chronic glomerulonephritis
第一页
<<上一页
下一页>>
尾页
页码
3
/
14
Copy.Right@2014 2026年足球世界杯直播基础医学院病理学系
地址:上海市徐汇区医学院路138号东一号楼
友情链接:
上海市红十字会:http://www.redcross-sha.org/Home/
欢迎关注我们的
微信公众号
扫一扫
Copy.Right@2014 2026年足球世界杯直播基础医学院病理学系
地址:上海市徐汇区医学院路138号东一号楼
总访问量:
map