设为首页
|
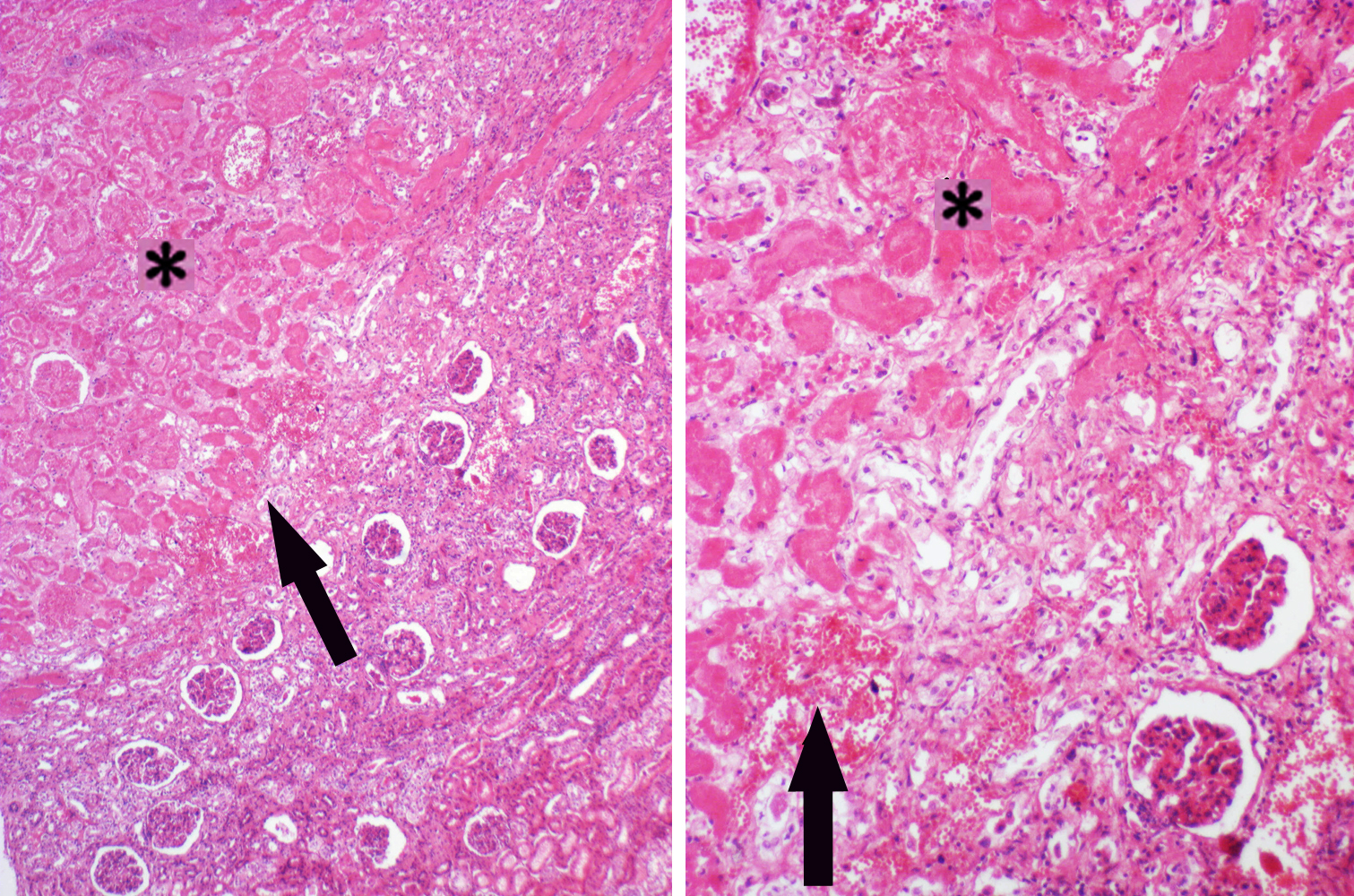
加入收藏
导航
Open Menu
网站首页
馆藏标本
教学标本
教学切片
疾病科普
场馆布置
参观须知
联系我们
网站首页
馆藏标本
教学标本
教学切片
疾病科普
场馆布置
参观须知
联系我们
教学切片
高倍视野
低倍视野
教学切片
您所在的位置:
首页
教学切片
100. Pile-stem liver fibrosis of schistosomiasis
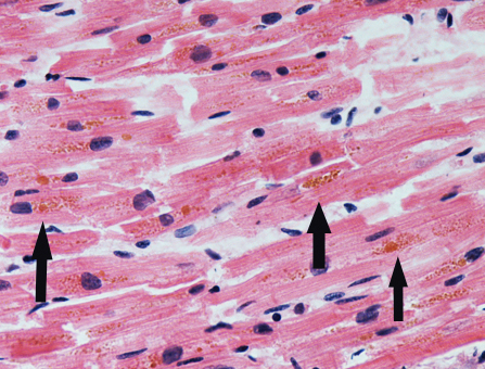
1.Brown atrophy of myocardium
2.Cloudy swelling of renal convoluted tubules
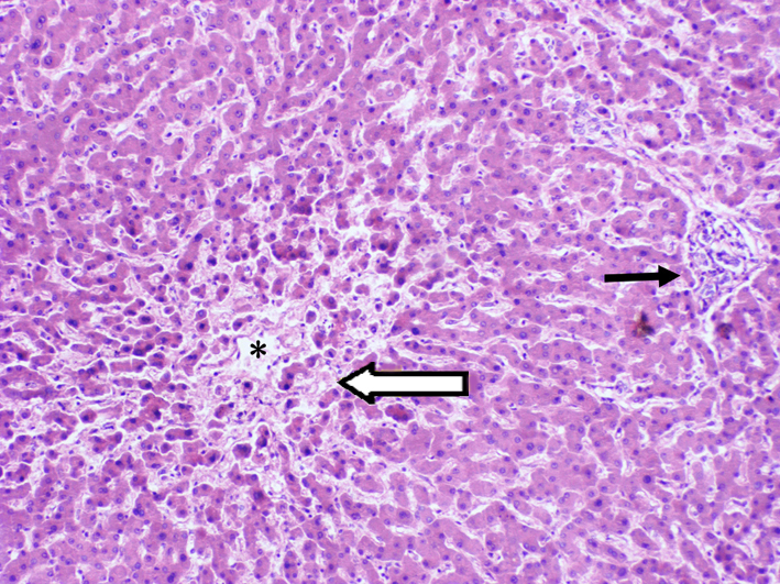
3.Fatty degeneration of liver cells
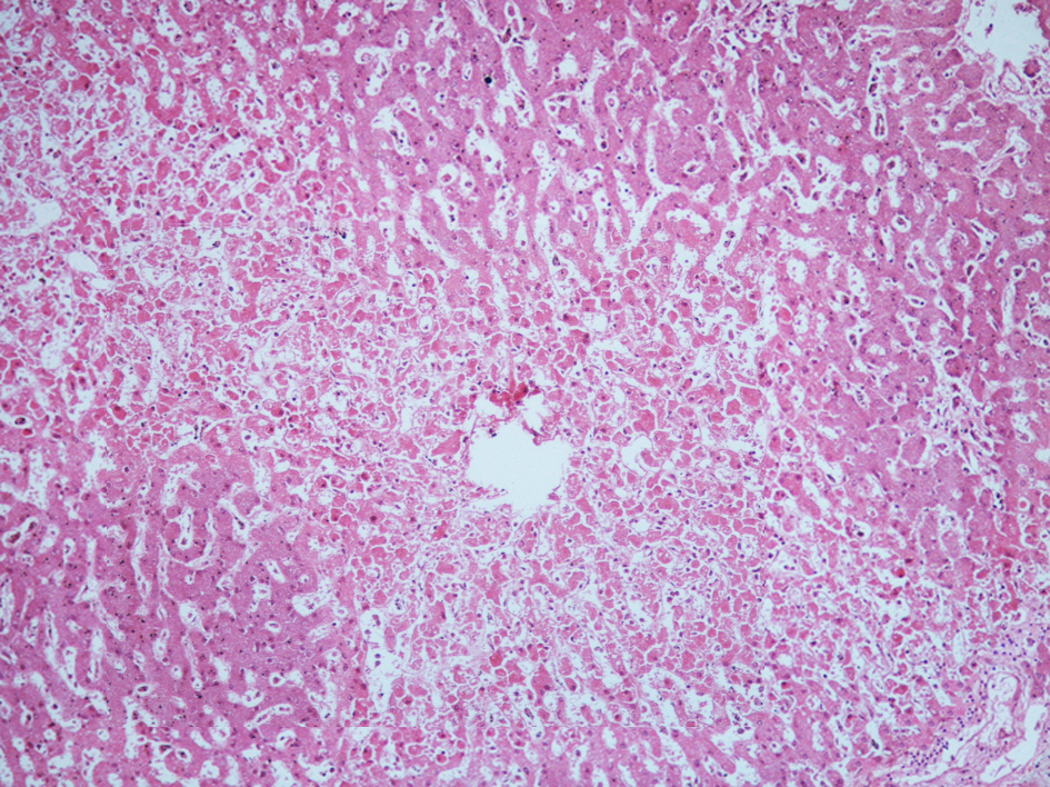
4.Coagulation necrosis of the liver
5.Liquefaction necrosis of the brain
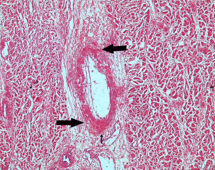
6.Fibrinoid necrosis of the arteriolar wall
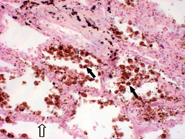
1.Congestion of the liver
2.Acute pulmonary congestion
3.Chronic pulmonary congestion
4.Mixed thrombus
5. Ischemic infarct of the kidney
1.leukocytes
2.pseudomembranous enteritis
3.Phlegmonous appendicitis
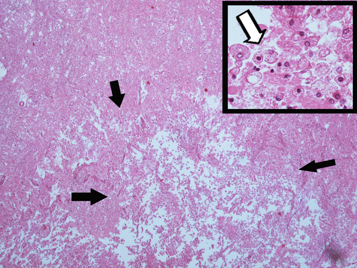
4. Abscess of the lung
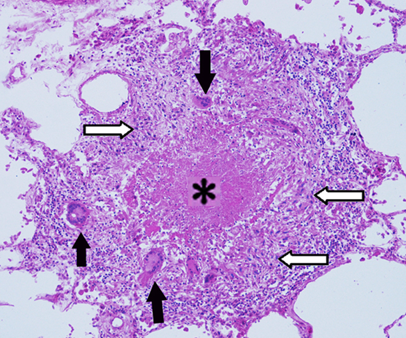
5.Granulomatous inflammation of the lung
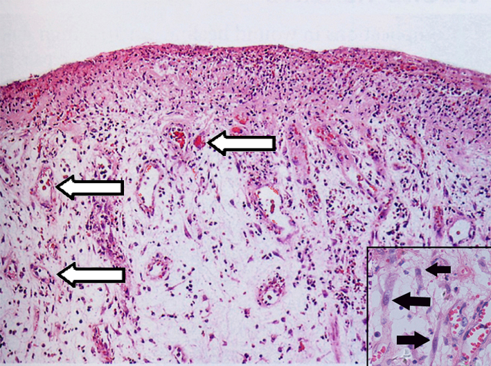
1. Granulation tissue
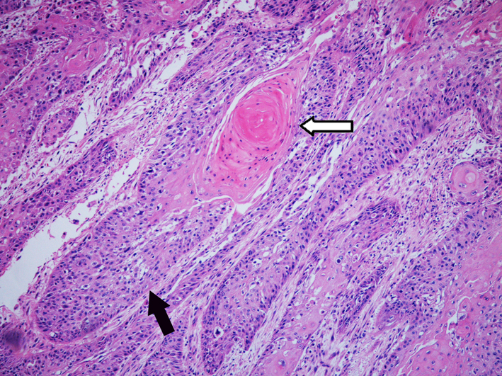
1.Squamous cell carcinoma of the esophagus
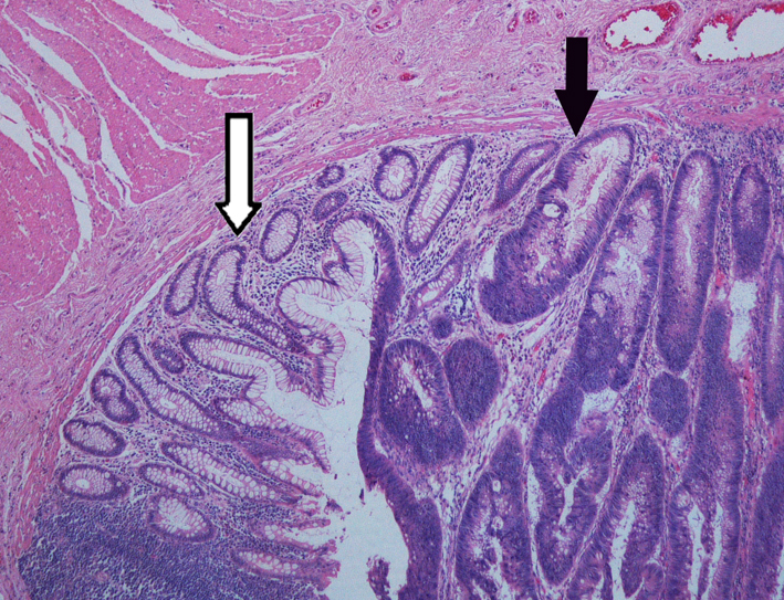
2.Adenocarcinoma of the colon
第一页
<<上一页
下一页>>
尾页
页码
5
/
14
Copy.Right@2014 2026年足球世界杯直播基础医学院病理学系
地址:上海市徐汇区医学院路138号东一号楼
友情链接:
上海市红十字会:http://www.redcross-sha.org/Home/
欢迎关注我们的
微信公众号
扫一扫
Copy.Right@2014 2026年足球世界杯直播基础医学院病理学系
地址:上海市徐汇区医学院路138号东一号楼
总访问量:
map