设为首页
|
加入收藏
导航
Open Menu
网站首页
馆藏标本
教学标本
教学切片
疾病科普
场馆布置
参观须知
联系我们
网站首页
馆藏标本
教学标本
教学切片
疾病科普
场馆布置
参观须知
联系我们
教学切片
高倍视野
低倍视野
教学切片
您所在的位置:
首页
教学切片
1.Opportunistic infection in the lung
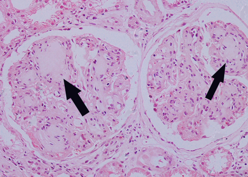
2.Lupus nephritis
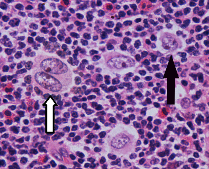
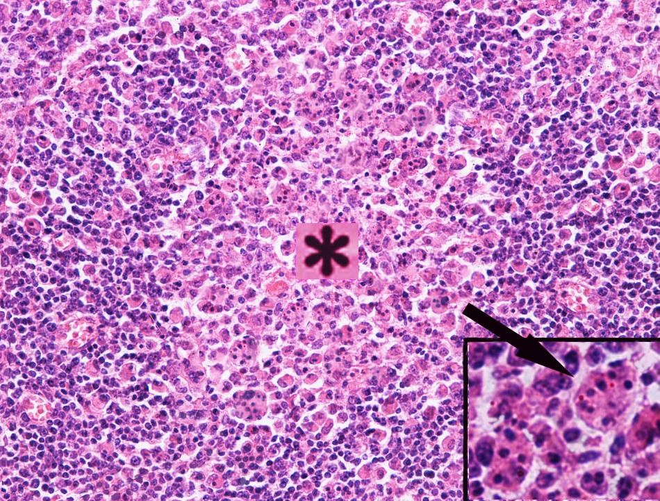
1.Hodgkin`s lymphoma
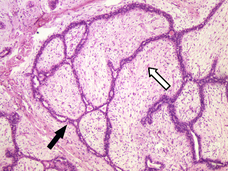
1.Fibroadenoma of the breast
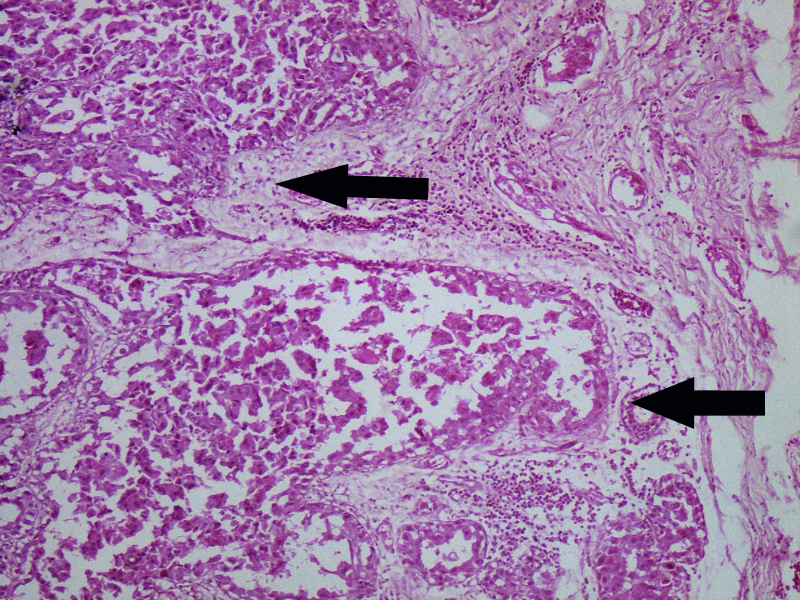
2. Invasive ductal cancer of the breast:
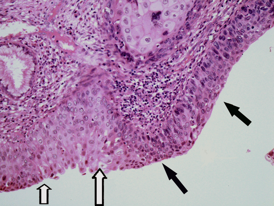
3.Carcinoma in situ of the cervix
1.Graves disease
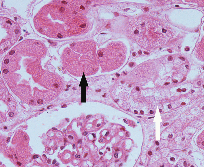
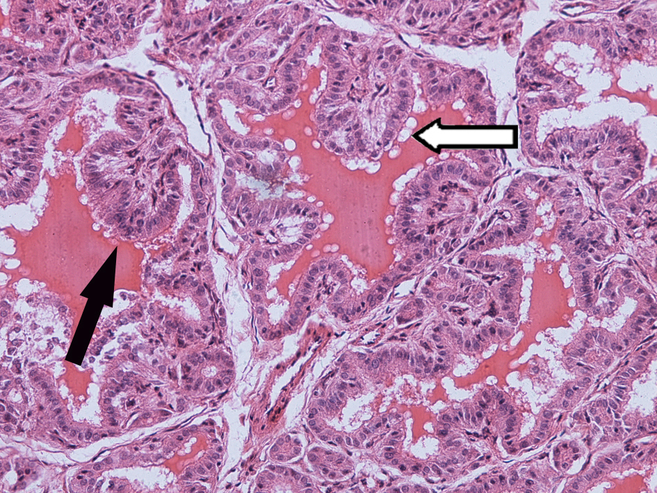
2.Diabetic nephropathy
1.Epidemic cerebrospinal meningitis (purulent meningitis)
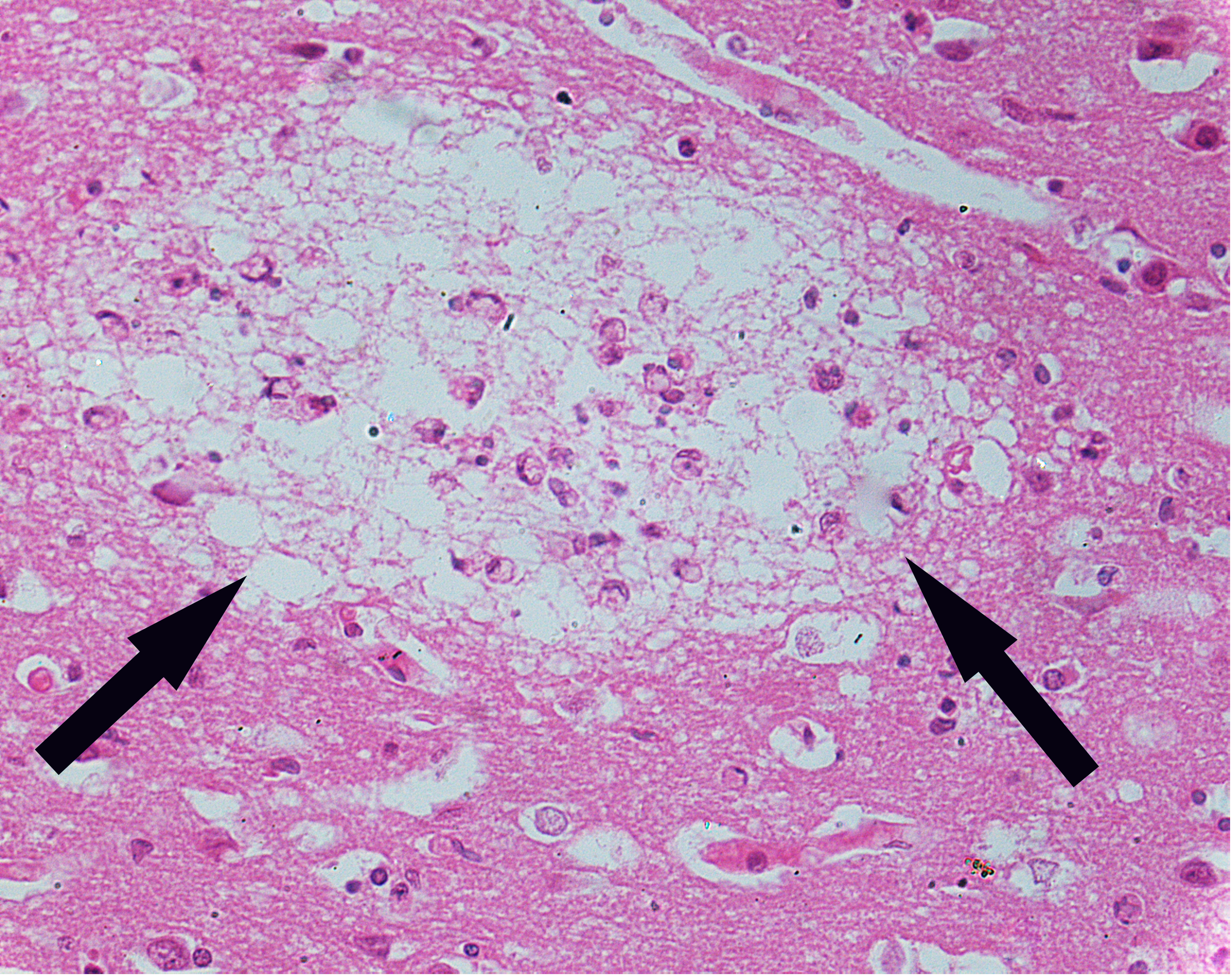
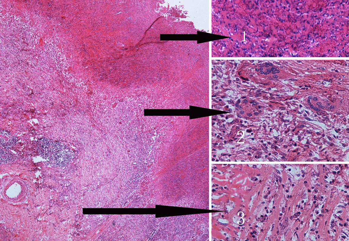
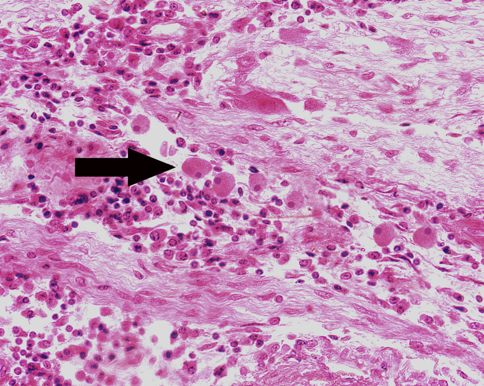
2.Encephalitis type B-liquefied necrosis
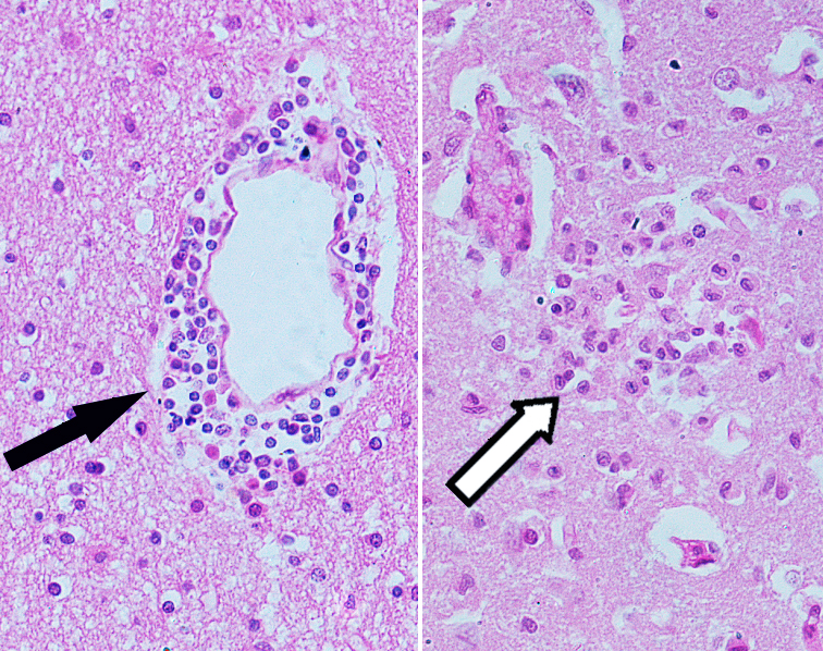
2.Encephalitis type B-2
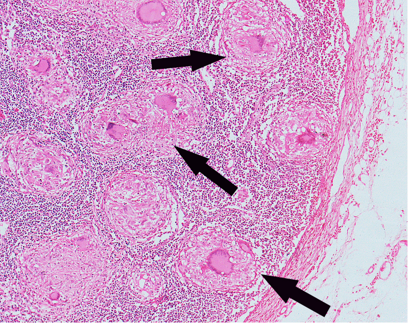
1.Tuberculous lymphadenitis
2.Chronic cavitary tuberculosis of the lung
3.Typhoid fever of intestine
1.Amebic colitis
2.Schistosomiasis of the colon
3.Experimental acute schistosomiasis of the liver (rabbit)
4.Pile-stem liver fibrosis of schistosomiasis
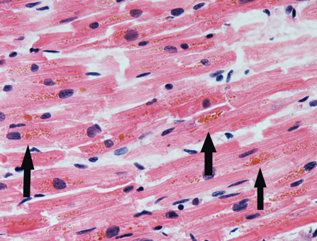
1.心肌褐色萎缩
2.肾曲管上皮混浊肿胀
第一页
<<上一页
下一页>>
尾页
页码
7
/
14
Copy.Right@2014 2026年足球世界杯直播基础医学院病理学系
地址:上海市徐汇区医学院路138号东一号楼
友情链接:
上海市红十字会:http://www.redcross-sha.org/Home/
欢迎关注我们的
微信公众号
扫一扫
Copy.Right@2014 2026年足球世界杯直播基础医学院病理学系
地址:上海市徐汇区医学院路138号东一号楼
总访问量:
map