董爱武老师课题组又一篇Plant Journal在线发表
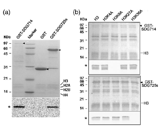
文章发现水稻SDG725具有H3K36专一性的甲基转移酶活性。sdg725突变体表型多效,主要表现为植株矮小、剑叶夹角和种子变小等油菜素内酯(BR)缺乏的典型特征。在sdg725中,大量与植物生长发育相关的基因在转录水平上发生改变,其中包括BR合成途径及信号传导途径的基因D11、BRI1和BU1。ChIP实验表明:sdg725中,D11、BRI1和BU1基因上的H3K36的双甲基化和三甲基化程度下降,同时SDG725蛋白在这些基因上的结合也明显减少,表明SDG725可以通过结合特定靶基因并对其进行组蛋白H3K36甲基化,进而促进目的基因的表达来影响水稻的生长发育。


