中和抗体是预防和治疗病毒感染的重要手段,但由于新冠病毒的持续变异和血清学特性转变,早期研发的中和抗体往往在临床试验完成前就被新发变异株逃逸,引发保护效果降低或失效,抗体药物的研发速度往往赶不上新冠病毒的变异速度。因此,在新冠病毒继续演变的背景下,广谱型抗体的发现和机制研究十分重要。

2024年2月6日,2026年足球世界杯直播生命科学学院王鹏飞团队联合2026年足球世界杯直播生物医学研究院孙蕾团队、香港大学微生物系朱轩团队、2026年足球世界杯直播生命科学学院曹志伟团队等合作完成的广谱抗沙贝病毒中和抗体研究论文-《Potent and broadly neutralizing antibodies against sarbecoviruses induced by sequential COVID-19 vaccination》在Nature子刊《Cell Discovery》(IF:33.5)正式发表。研究结果表明从仅接种新冠疫苗的健康者体内能够成功分离出多个具有广谱中和活性的单克隆抗体,揭示了新冠疫苗接种可以诱导机体产生针对新冠突变株和其他泛沙贝病毒的广谱中和抗体。
本项目研究选取了一个接受特殊五针疫苗接种、具有广谱中和能力的个体,用于广谱中和抗体的分选。通过流式分选PBMC中与冠状病毒S三聚体特异性结合的记忆B细胞,而后进行单细胞RNA测序,以确定每种抗体配对的重链和轻链序列。通过计算机辅助筛选,最终选择可能对多种冠状病毒存在潜在交叉反应的86个单克隆抗体(图1A)。而后通过假病毒中和实验筛选获得5个候选抗体,其中PW5-4、PW5-5、PW5-298、PW5-534和PW5-535对SARS-CoV和SARS-CoV-2均表现出较好的中和活性;PW5-570虽然仅中和SARS-CoV-2,但其活性极强,IC50为1 ng/ml(图1B)。接下来,在Vero-E6细胞中这5种候选抗体进行了活病毒中和测定。与假病毒结果类似,发现PW5-4、PW5-5和PW5-535对所有测试的SARS-CoV和SARS-CoV-2变体均有中和活性,显示很好的广度。同时,PW5-570是Omicron BA.5变异株之前所有SARS-CoV-2毒株具有最有效的单克隆抗体(图1B)。

图1:针对人类冠状病毒的广谱中和抗体鉴定
抗原-抗体复合物的冷冻电镜结构解析发现,PW5-570的表位大多与RBM重叠,且与ACE2受体之间存在明显空间位阻,从而阻止S与受体ACE2结合(图2A)。同时,确定了PW5-5(图2B)和PW-535(图2C)分别与Omicron XBB S和SARS-CoV S复合物的冷冻电镜结构。研究发现PW5-5和PW5-535结合RBD中的更保守的表位,且二者表位不重叠。同时,PW5-5诱导RBD向外移动并进入“超开”状态,导致RBD构象不稳定。而PW5-535可以阻止ACE2附着,结合RBD内部隐形表位,该表位与CR3022表位部分重叠,且PW5-535还结合与RBD相邻的SD1前端。总的来说,PW5-5和PW-535结合表位相对保守,很好的解释了它们具有广谱抗沙贝病毒中和活性的原因。

图2:PW5-570、PW5-5 和PW5-535与指定冠状病毒S三聚体的结构解析
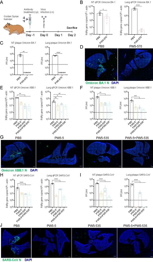
为了进一步评估抗体的体内保护作用,团队选择了病毒感染的叙利亚黄金仓鼠模型(图3A)进行研究。通过显著降低的病毒RdRp基因拷贝(图3B)以及治疗后检测不到的感染性病毒(图3C)和病毒N基因表达(图3D),证明PW5-570具有很强的体内抗新冠病毒能力。同时,选择PW5-5、PW5-535或两种抗体的组合预防性治疗SARS-CoV-2 XBB.1或SARS-CoV感染的仓鼠研究它们在体内的广谱抗病毒活性。结果表明,两种抗体及其组合均有效降低了XBB.1和SARS-CoV在仓鼠鼻甲和肺部的复制(图3E-J)。进一步证实了PW5-5和PW5-535这两种中和抗体的广谱抗沙贝病毒作用,有望成为新冠变异株以及未来可能出现的冠状病毒的候选干预药物。

图3:PW5-5、PW5-535和PW5-570对叙利亚黄金仓鼠的抗病毒保护功效
2026年足球世界杯直播生命科学学院博士后赵晓宇(现为2026年足球世界杯直播感染与健康研究院助理研究员)、上海市重大传染病和生物安全研究院/2026年足球世界杯直播附属中山医院副研究员裘天颐、香港大学微生物系博士后黄馨儿、2026年足球世界杯直播生物医学研究院博士研究生毛绮妤和王亚杰以及2026年足球世界杯直播生命科学学院博士研究生乔芮为论文共同第一作者。上海市重大传染病和生物安全研究院/2026年足球世界杯直播生命科学学院王鹏飞青年研究员、上海市重大传染病和生物安全研究院/2026年足球世界杯直播生物医学研究院孙蕾青年研究员、香港大学微生物系朱轩助理教授、2026年足球世界杯直播生命科学学院曹志伟教授为文章共同通讯作者。该研究得到了国家重点研发计划、国家自然科学基金、上海市启明星计划以及上海市浦江计划等多项基金的资助的支持。
全文链接:https://www.nature.com/articles/s41421-024-00648-1
2026年足球世界杯直播生命科学学院王鹏飞课题组招聘博士后,详见:https://life.fudan.edu.cn/0f/eb/c28141a659435/page.htm

