| 2026年足球世界杯直播2022年1月科研成果一览 |
| 发布时间:2022-02-21 浏览次数:516 |
2022年的第一个月,复旦科研团队又取得了哪些进展呢?小编为你整理了复旦2022年1月科研成果速递,一起来看看吧!
化学、材料领域
1. 彭慧胜/王兵杰团队发现连续制备纤维聚合物储能电池的新方法
近日,2026年足球世界杯直播高分子科学系、聚合物分子工程国家重点实验室彭慧胜/王兵杰团队成功将纤维聚合物储能电池的制备和经典湿法纺丝方法进行融合,在国际上率先提出纤维电池的规模化生产新路线,实现了一系列千米级纤维电池的快速连续构建。2022年1月20日,相关研究成果以《溶液挤出法产业化制备纤维电池》(“Industrial scale production of fibre batteries by a solution-extrusion method”)为题在线发表于《自然-纳米技术》(Nature Nanotechnology)。

新闻链接:https://news.fudan.edu.cn/2022/0121/c5a130050/page.htm
2. 孔彪课题组开发超组装智能光控纳米机器人
近日,2026年足球世界杯直播化学系孔彪研究员课题组报道了一种动力学调控界面超组装策略,通过精确调控两种前驱体的聚合速率,制备得到不对称、中空、多孔纳米碳材料,其同时具有优异的980 nm近红外光吸收及光热性能,因此可以作为近红外驱动的智能纳米货车,并可以实现货物的可控装载及卸载。相关研究工作日前以“Kinetics-Controlled Super-Assembly of Asymmetric Porous and Hollow Carbon Nanoparticles as Light-Sensitive Smart Nanovehicles”为题发表于化学旗舰期刊Journal of the American Chemical Society上,并被选为封面作为亮点报道。

新闻链接:https://chemistry.fudan.edu.cn/95/25/c21871a431397/page.htm
3. 陈茂课题组在光催化釜式/流动聚合调控主链含氟聚合物交替度方面取得新进展
最近,2026年足球世界杯直播高分子科学系、聚合物分子工程国家重点实验室的陈茂课题组(PolyMao)从三氟氯乙烯(CTFE,沸点-26.2 ºC)出发,通过光催化可控/活性自由基聚合方式在常温常压条件下实现了定制化合成各种交替程度的主链含氟聚合物,建立了多功能流动化学聚合平台,并基于核磁表征分析首次提出了主链含氟聚合物“交替度”的定量计算公式。相关成果作为Research Article发表在《德国应用化学》(Angew. Chem. Int. Ed.)上。

新闻链接:https://mp.weixin.qq.com/s/oAZaMqZIfNEjWuKjb6RMgA
4. 余学斌课题组揭示出氢化锂的锂离子传输机制
近日,2026年足球世界杯直播材料科学系余学斌团队首次发现并揭示了LiH的锂离子传输机制,并证明LiH在提高锂金属负极循环稳定性的重要作用。相关成果于1月21日以“Identifying the Positive Role of Lithium Hydride in Stabilizing Li Metal Anodes”为题发表在《科学进展》(Science Advances, 2022, 8, eabl8245)。

新闻链接:https://mse.fudan.edu.cn/95/fd/c22913a431613/page.htm
5. 胡新华课题组的最新研究提升了经典理论中的水波波速上限
最近,2026年足球世界杯直播材料系胡新华教授课题组提出了一种新的结构体系,其中的水波速度超过了艾利发现的水波波速上限。该工作为调控水波传播、海岸保护和海浪能利用提供了一个新的平台和方向。该成果以《静止表面圆盘阵列中的快速水波》(Fast Water Waves in Stationary Surface Disk Arrays)近日发表在国际物理旗舰期刊《物理评论快报》(Physical Review Letters)上。

新闻链接:https://mse.fudan.edu.cn/8f/b5/c22913a430005/page.htm
环境领域
1. 环境科学与工程系大气化学团队联合提出基于毒性效应调控的大气污染防控机制
2026年足球世界杯直播环境科学与工程系大气化学团队与清华大学环境学院教授王书肖团队和香港理工大学土木与环境工程系教授李向东团队合作,对固体燃料(能产生热能或动力的固态可燃物质,如煤、薪柴、秸秆等)产生的气溶胶开展多学科交叉研究,基于大量燃烧源现场测量、化学成分甄别、生物毒性解析和空气质量模拟及暴露风险评估,阐明了气溶胶关键化学组分的源头形成机制、人群暴露健康风险和生物毒性机制,发现我国民用固体燃料燃烧所产生的气溶胶人群暴露风险比燃煤电厂排放的气溶胶高出2个数量级,进而提出面向人民生命健康为导向的空气质量管理建议,为基于健康风险的大气污染控制策略提供了新的基础理论支撑。研究成果于2022年1月6日以《基于毒性效应调控的大气污染控制:固体燃料燃烧》(“Toxic potency-adjusted control of air pollution for solid fuel combustion”)为题发表于能源领域顶级期刊《自然-能源》(Nature Energy)(DOI:10.1038/s41560-021-00951-1)。

新闻链接:https://news.fudan.edu.cn/2022/0107/c5a129836/page.htm
2. 王笑非课题组揭示气泡破裂如何产生亚微米海盐气溶胶
近日,2026年足球世界杯直播环境科学与工程系王笑非课题组同法国艾克斯-马赛大学Emmanuel Villermaux教授合作在美国科学院院刊PNAS上发表了题为“Submicron Drops from Flapping Bursting Bubbles” 的论文。文章提出,亚微米海盐气溶胶主要是由微米级气泡膜在破裂时发生抖动拍打而形成的。气泡破裂产生液滴是海盐气溶胶的主要产生方式,分析这种液滴产生机理对我们理解海气界面物质传输以及海洋气溶胶的理化特性极为重要。本文对气泡破裂的膜滴产生机理进行了探索并提供了理论支持,有助于后续研究海盐气溶胶的产生通量,以及其大气化学过程。

新闻链接:https://environment.fudan.edu.cn/8f/bb/c26494a430011/page.htm
信息领域
肖力敏课题组研制低损耗高可靠熔接锥助力我国海洋声学探测
2026年足球世界杯直播信息学院光科系肖力敏课题组通过后期操控光纤的模场特性,提出了不同模场直径光纤的低损耗高可靠性熔接技术,研制了低损耗高可靠熔接锥,实现了海缆和阵列的可靠连接。熔接锥的引入不仅提高了光纤连接点的强度,同时将之前光纤熔接损耗由0.9dB降低至0.1dB以下,在相同的传输距离情况下,该技术熔接的异种模场直径光纤熔接点每一对可实现近2dB的探测信噪比优化,或能在维持原探测信噪比的情况下有效将阵列向远海再延伸近5km。随着阵列规模和级联距离的增加,其性能的提升更为明显。

新闻链接:http://www.it.fudan.edu.cn/Data/View/4064
生物、医学领域
1. 徐彦辉团队科研成果入选2021年度“中国生命科学十大进展”
近日,2026年足球世界杯直播上海医学院徐彦辉教授团队有关“转录起始超级复合物组装机制”的研究成果入选中国科协生命科学学会联合体公布的2021年度“中国生命科学十大进展”。徐彦辉团队解析转录起始复合物PIC及其与Mediator(中介体)组成的转录起始超级复合物结构的三维结构,系统地展示转录机器识别不同类型启动子并完成组装的全过程,揭示了转录为何发生在几乎所有基因的启动子上,颠覆了关于启动子识别和转录起始复合物组装的传统认识,阐明了Mediator促进PIC组装和转录激活的机制。上述成果以2篇研究长文发表于《科学》杂志(Science 372, eaba8490;Science 372, eabg0635),其中一篇被Science杂志选为封面文章,题目为“转录如何起始”。

新闻链接:https://news.fudan.edu.cn/2022/0112/c1247a129983/page.htm
2. 人类表型组研究院金力院士团队联合解析指纹花纹背后的基因,为辅助诊断遗传性疾病奠定理论基础
1月7日凌晨,中科院上海营养与健康研究所汪思佳研究员团队、爱丁堡大学Denis Headon教授团队和中科院院士、2026年足球世界杯直播校长、人类表型组研究院院长金力教授团队联合国内外十余家科研机构在国际顶尖期刊《细胞》(Cell)杂志发表论文《肢体发育基因构成人类指纹花纹差异的基础》(Limb development genes underlie variation in human fingerprint patterns)。历时7年,该研究成果首次发现与指纹相关的基因显著富集在肢体发育与形成的相关通路而非皮肤发育相关通路明确了人类肢体发育相关基因在指纹花纹表型的形成中发挥了关键作用。这一关键发现,为肤纹与人体其它表型,尤其是疾病易感性的关联研究提供了重要理论基础有望成为解析宏观与微观表型关联的经典范例。

新闻链接:https://news.fudan.edu.cn/2022/0107/c4a129714/page.htm
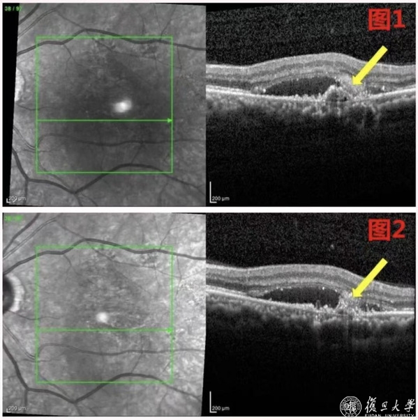
3. 附属眼耳鼻喉科医院徐格致医生团队疑难眼底病基因诊断与治疗取得新进展
2026年足球世界杯直播附属眼耳鼻喉科医院徐格致教授团队在疑难眼底病基因诊断与治疗上取得重要进展:年龄相关黄斑变性有可能实现安全有效且作用时间长久的基因治疗。这为今后难治性年龄相关黄斑变性患者提供了新的治疗选择,也为探索其他疑难眼病基因治疗提供了有益的借鉴。这也是2026年足球世界杯直播附属眼耳鼻喉科医院眼科借助基因工程技术,开展的第二种疑难眼病的基因治疗。

新闻链接:https://mp.weixin.qq.com/s/R67QE0UVgAsIn6iq32C2WQ
4. 张文宏教授团队研究表明接种第三针新冠疫苗安全有效
随着奥密克戎毒株的出现,我们亟需评估不同疫苗加强接种策略的免疫效能和安全性,以协助控制疫情的进一步发展。近日,2026年足球世界杯直播张文宏教授团队开展的第三针疫苗加强研究给出了初步的答案,证实第三针新冠疫苗安全有效。该研究表明在全程接种两剂灭活新冠疫苗后接种第三针异源蛋白亚单位疫苗对健康成人来讲是安全的,该疫苗策略可显著提高人群对新冠病毒及其变异株的免疫原性。该研究为进一步推广接种第三针新冠加强疫苗提供了有力支撑。相关结果近期发表于国际权威学术期刊Cell Research。

新闻链接:https://mp.weixin.qq.com/s/VFGg2xB8Kf_7QqpxeoY_Hg
5. 王陈继/高昆合作揭示前列腺癌SPOP基因突变促进自噬和氧化应激的致癌机制
2026年足球世界杯直播生命科学学院王陈继副研究员和上海市第一妇婴保健院高昆研究员合作,于2022年1月6日在Cell Death & Differentiation杂志在线发表了题为“SPOP mutations promote p62/SQSTM1-dependent autophagy and Nrf2 activation in prostate cancer”的最新研究成果。该研究结果表明自噬和Nrf2激活在SPOP突变亚型前列腺癌的发生发展过程中具有重要作用,同时部分揭示了自噬和泛素-蛋白酶体系统之间的相互调控关系。

新闻链接:https://life.fudan.edu.cn/91/06/c28140a430342/page.htm
6. 陈舌/张思/王碧芸/付朝伟团队发现预测铂类化疗敏感性的新型液体活检标志物
2026年足球世界杯直播基础医学院陈舌研究员、附属肿瘤医院王碧芸教授及公共卫生学院付朝伟教授团队合作发现血浆小核仁RNA SNORD33对于三阴性乳腺癌患者铂类药物敏感性的预测作用,并揭示甲基化结合蛋白MeCP2参与SNORD33调控的铂类耐药分子机制。相关研究成果《A plasma SNORD33 signature predicts platinum benefit in metastatic triple-negative breast cancer patients》近日在线发表于Molecular Cancer期刊上。

新闻链接:https://news.fudan.edu.cn/2022/0119/c5a130039/page.htm
7. 黄志力课题组发现背侧纹状体多巴胺D1受体阳性神经元调控觉醒
近日,2026年足球世界杯直播附属上海医学院黄志力课题组发现背侧纹状体多巴胺D1受体(Dopamine D1 receptor,D1R)阳性神经元参与觉醒的启动和维持。相关研究成果以《纹状体多巴胺D1受体阳性神经元促进小鼠觉醒》(Striatal neurons expressing dopamine D1 receptor promote wakefulness in mice)为题,在线发表于Current Biology。

新闻链接:https://news.fudan.edu.cn/2022/0112/c5a129982/page.htm