肝脏活检病理诊断
病理学系在著名肝脏病理学家胡锡琪教授的带领下,开展临床肝脏穿刺病理诊断工作四十余年,诊断病例上万例,完成来自国内各地的疑难会诊病例上千例,诊断水平享誉全国,出版论著《胡锡琪图解肝病:疑难肝病临床病理诊断与鉴别诊断》;并发表药物性肝损伤(DILI)的半定量评价体系等相关学术论文多篇。近年来,刘秀萍教授对肝星状细胞在肝纤维发生发展过程中的作用机制进行了系列研究,获得多项科研课题及发表多篇学术论文。在胡锡琪老专家的专心指导下,刘秀萍教授对于非肿瘤性肝脏疾病的诊断水平稳步提升。我们能以国际化诊断标准对所有肝穿刺病例进行标准的诊断,这不仅为肝病患者的临床治疗方案提供了宝贵依据,且为慢性肝病的科学研究提供了弥足珍贵的组织标本和临床信息数据资料。

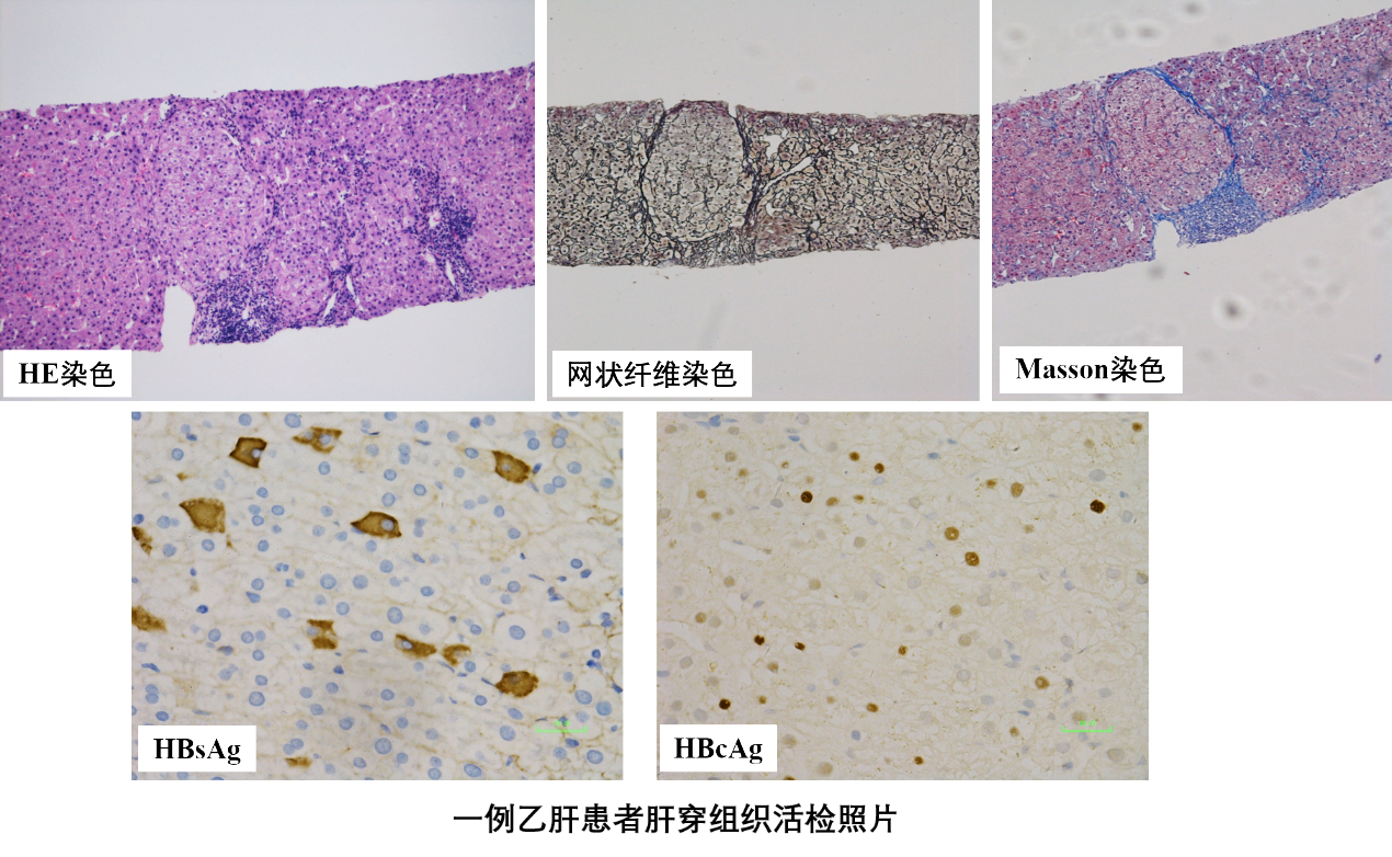
肝活检病理内容:显微镜对下面各种染色切片进行观察。
① HE染色。
② 特殊染色:网状纤维染色,Masson三色染色,铁染色,铜染色,PAS染色和D-PAS染色,刚果红染色(需要时),油红染色(需要时),纤维蛋白染色(需要时)等。
③ 免疫组化染色:HBsAg,HbcAg,CK7和/或CK19,需要时可做CD34,CD68,HepPar-1,AFP,HSP70,GPC3等


