设为首页
|
加入收藏
导航
Open Menu
网站首页
馆藏标本
教学标本
教学切片
疾病科普
场馆布置
参观须知
联系我们
网站首页
馆藏标本
教学标本
教学切片
疾病科普
场馆布置
参观须知
联系我们
教学切片
高倍视野
低倍视野
教学切片
您所在的位置:
首页
教学切片
5.血管壁纤维样坏死
6.肝细胞凝固性坏死
7.脑液化性坏死
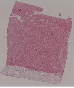
10.肝淤血
11.淤血性肝纤维化
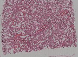
12.急性肺淤血
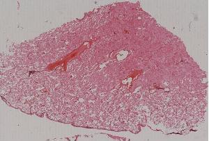
13.慢性肺淤血
14.混合血栓
15.机化血栓
16.肾贫血性梗死
17.肺出血性梗死
18.假膜性肠炎
19.蜂窝织性阑尾炎
20.肺脓肿
21.慢性扁桃体炎
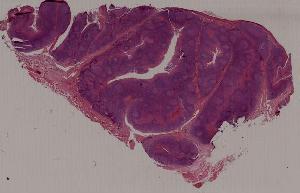
22.慢性宫颈炎
23.炎性息肉
24.肺肉芽肿性炎(肺粟粒性结核)
8.肉芽组织
9.皮肤一期愈合
第一页
<<上一页
下一页>>
尾页
页码
11
/
14
Copy.Right@2014 2026年足球世界杯直播基础医学院病理学系
地址:上海市徐汇区医学院路138号东一号楼
友情链接:
上海市红十字会:http://www.redcross-sha.org/Home/
欢迎关注我们的
微信公众号
扫一扫
Copy.Right@2014 2026年足球世界杯直播基础医学院病理学系
地址:上海市徐汇区医学院路138号东一号楼
总访问量:
map