设为首页
|
加入收藏
导航
Open Menu
网站首页
馆藏标本
教学标本
教学切片
疾病科普
场馆布置
参观须知
联系我们
网站首页
馆藏标本
教学标本
教学切片
疾病科普
场馆布置
参观须知
联系我们
教学切片
高倍视野
低倍视野
教学切片
您所在的位置:
首页
教学切片
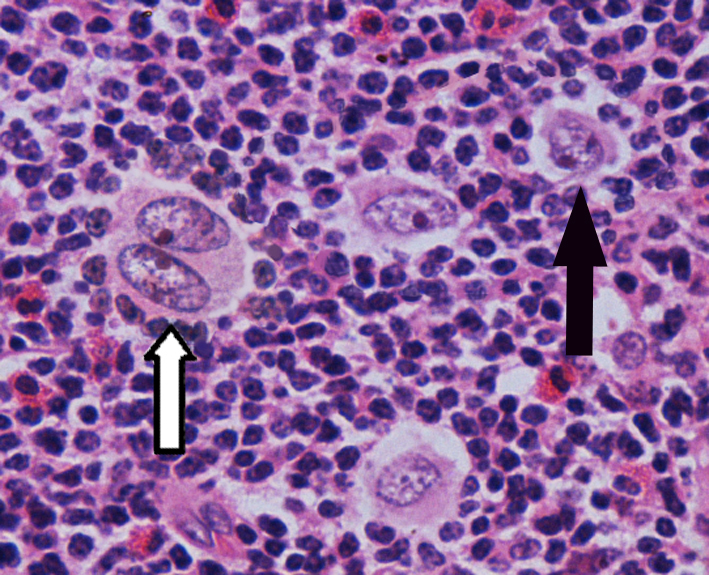
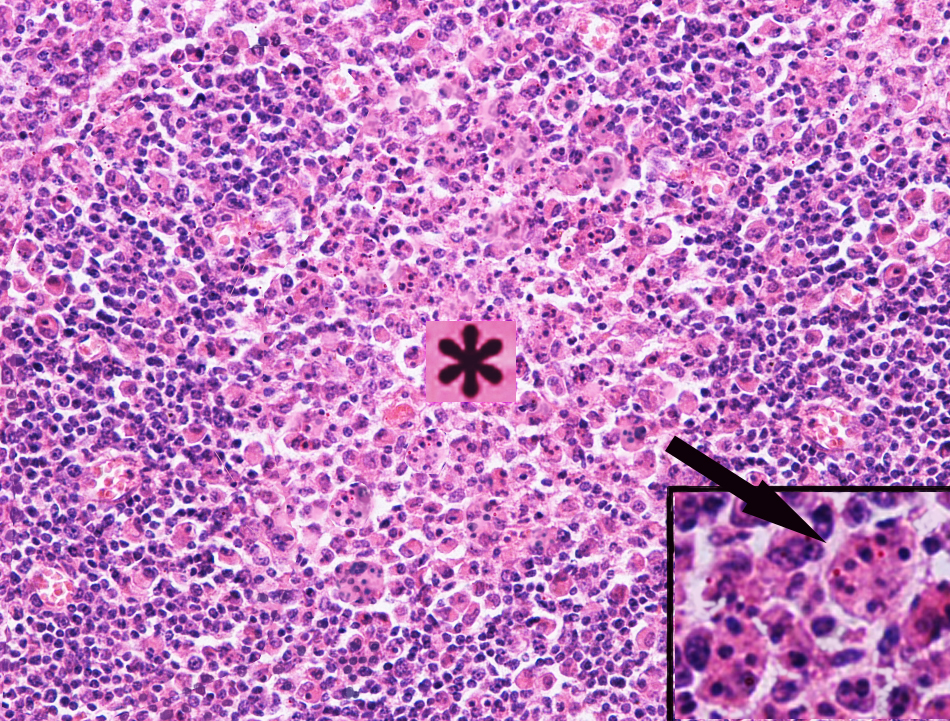
1.霍奇金淋巴瘤
1.乳腺纤维腺瘤
2.乳腺浸润性导管癌
3.宫颈原位癌
1.Graves病
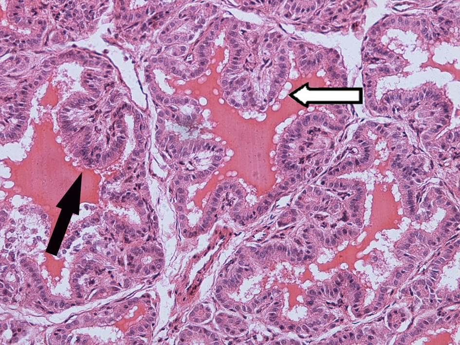
2.糖尿病肾病
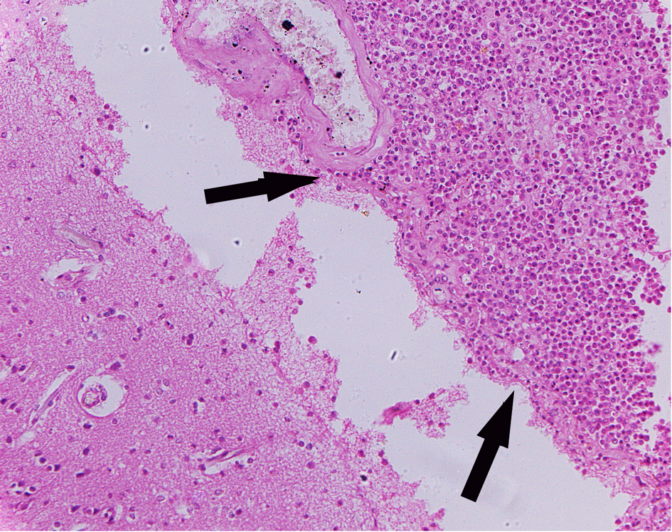
1.流行性脑脊髓膜炎
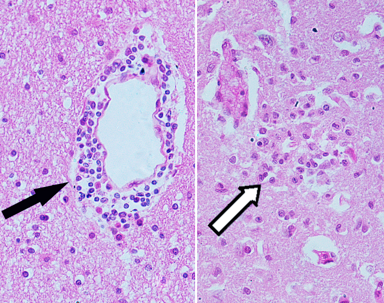
2.乙型脑炎(1)
3.乙型脑炎(2)
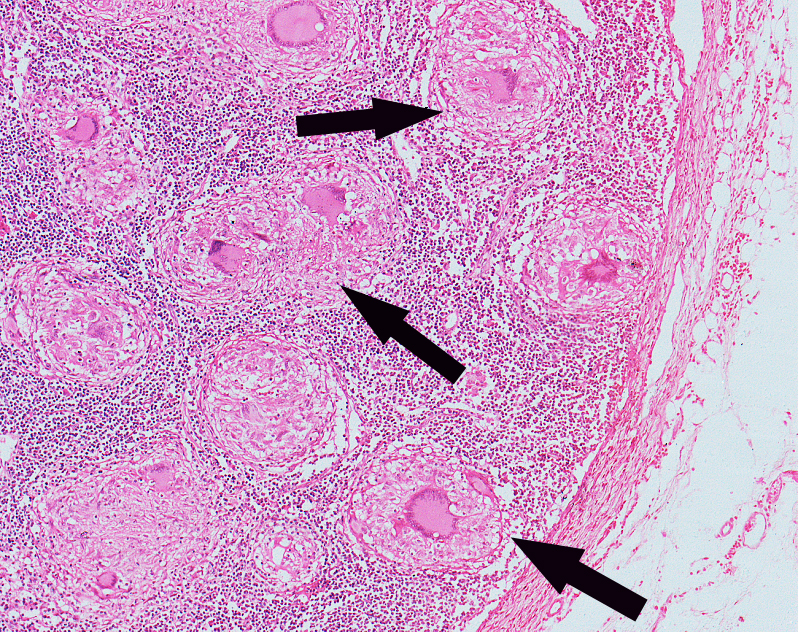
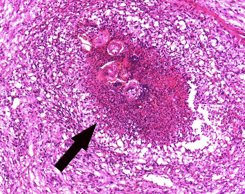
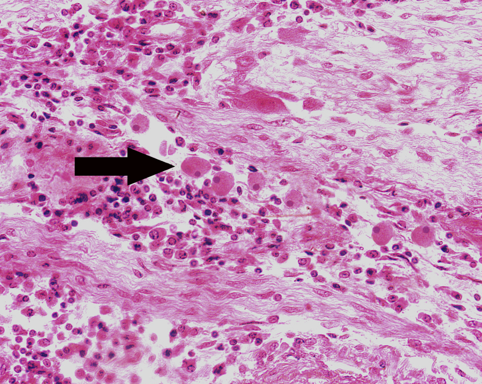
1.淋巴结结核
2.慢性纤维空洞性肺结核
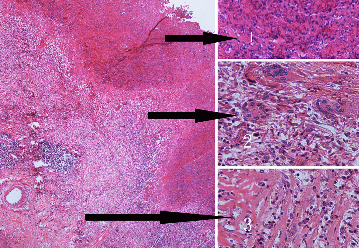
3.肠伤寒
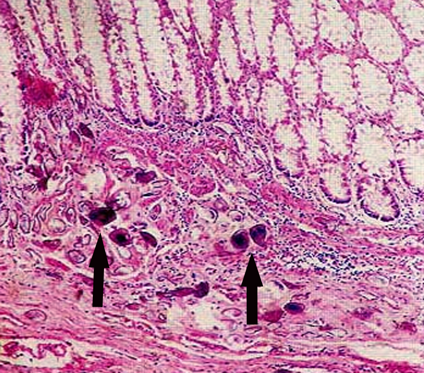
1.结肠阿米巴病
2.结肠血吸虫病
3.肝急性血吸虫病(兔)
4.血吸虫性肝纤维化
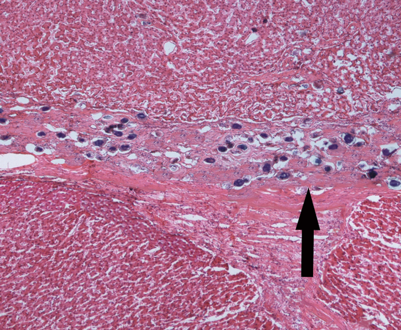
1.心肌褐色萎缩心肌肥大
2.肾曲管上皮混浊肿胀
3.肝细胞脂肪变性
4.脾包膜玻璃样变
第一页
<<上一页
下一页>>
尾页
页码
10
/
14
Copy.Right@2014 2026年足球世界杯直播基础医学院病理学系
地址:上海市徐汇区医学院路138号东一号楼
友情链接:
上海市红十字会:http://www.redcross-sha.org/Home/
欢迎关注我们的
微信公众号
扫一扫
Copy.Right@2014 2026年足球世界杯直播基础医学院病理学系
地址:上海市徐汇区医学院路138号东一号楼
总访问量:
map