设为首页
|
加入收藏
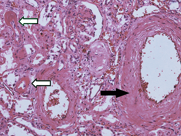
导航
Open Menu
网站首页
馆藏标本
教学标本
教学切片
疾病科普
场馆布置
参观须知
联系我们
网站首页
馆藏标本
教学标本
教学切片
疾病科普
场馆布置
参观须知
联系我们
教学切片
高倍视野
低倍视野
教学切片
您所在的位置:
首页
教学切片
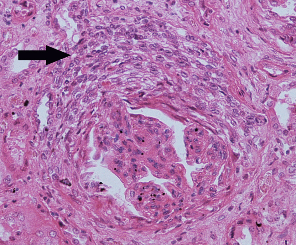
3.肾动脉硬化
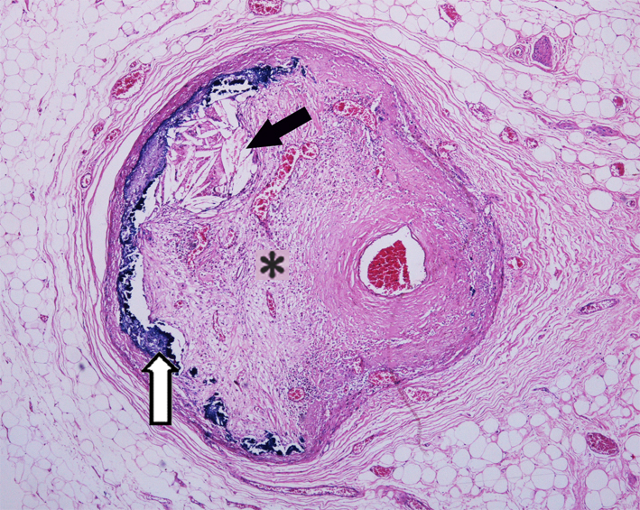
4.主动脉粥样硬化
5.冠状动脉粥样硬化
6.急性心肌梗死
1.大叶性肺炎
2.小叶性肺炎
3.慢性支气管炎
4.支气管扩张症
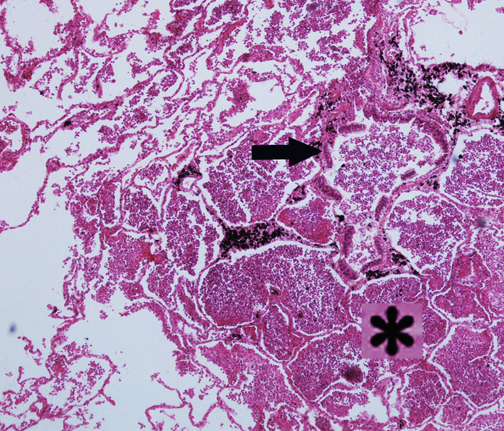
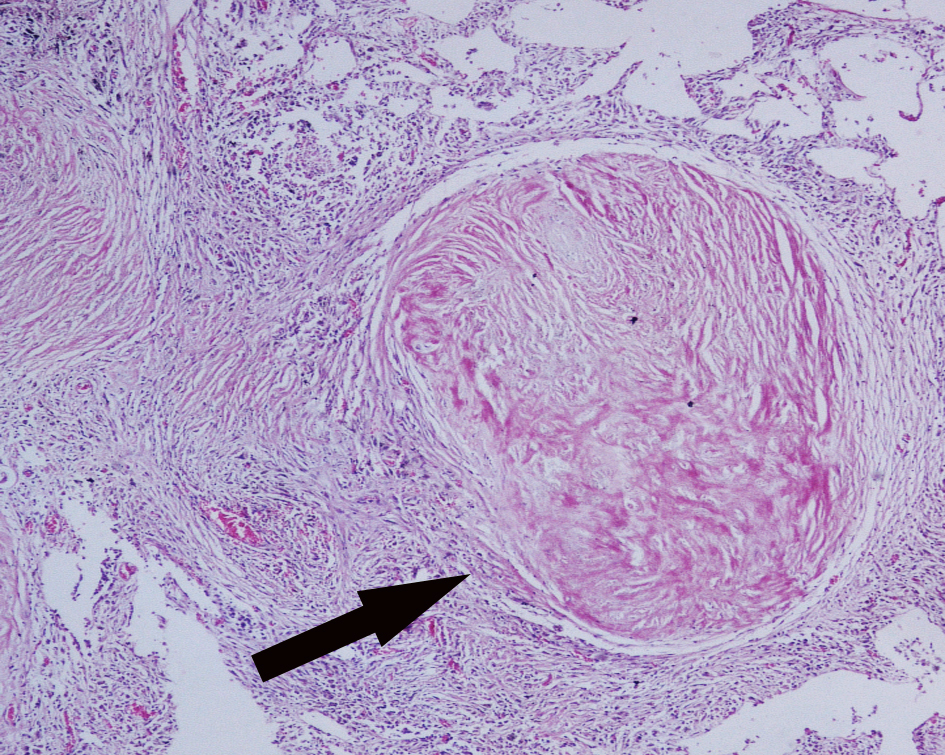
5.矽肺节
5.矽肺-2
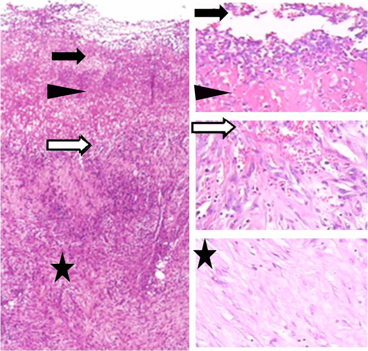
1.胃溃疡
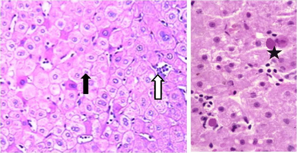
2.急性普通型病毒性肝炎
3.慢性活动性肝炎
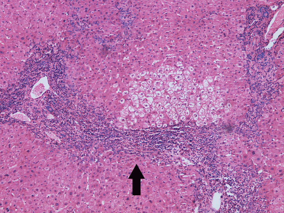
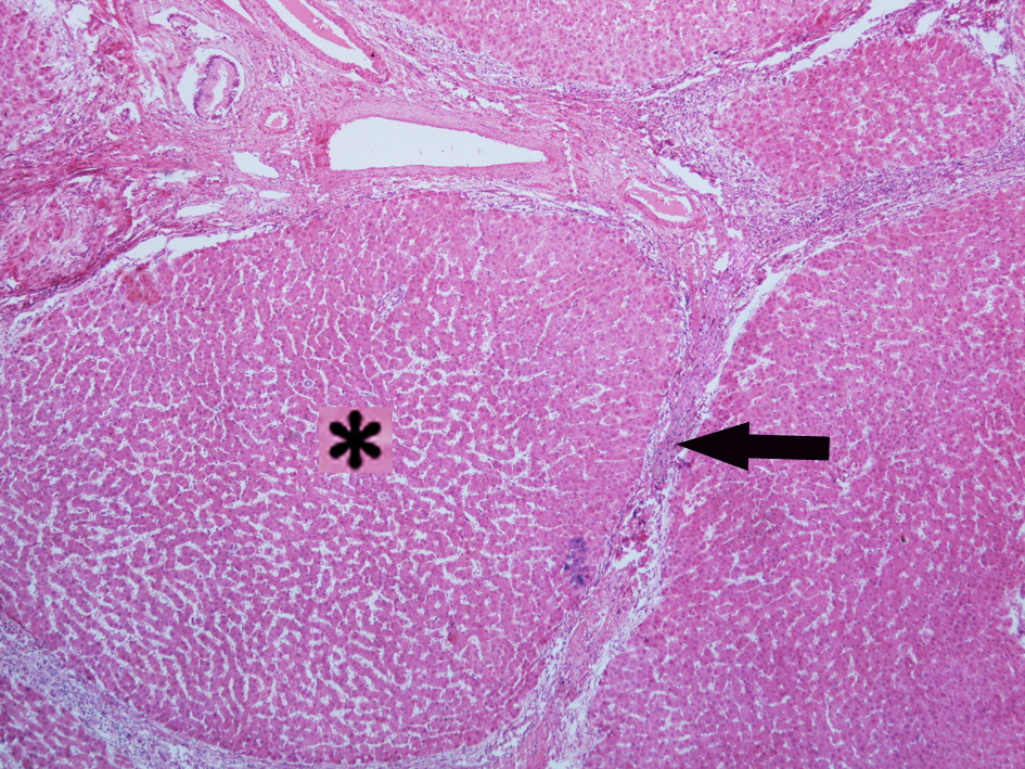
4.结节性肝硬化
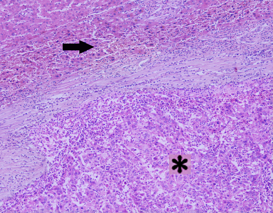
5.肝细胞性肝癌
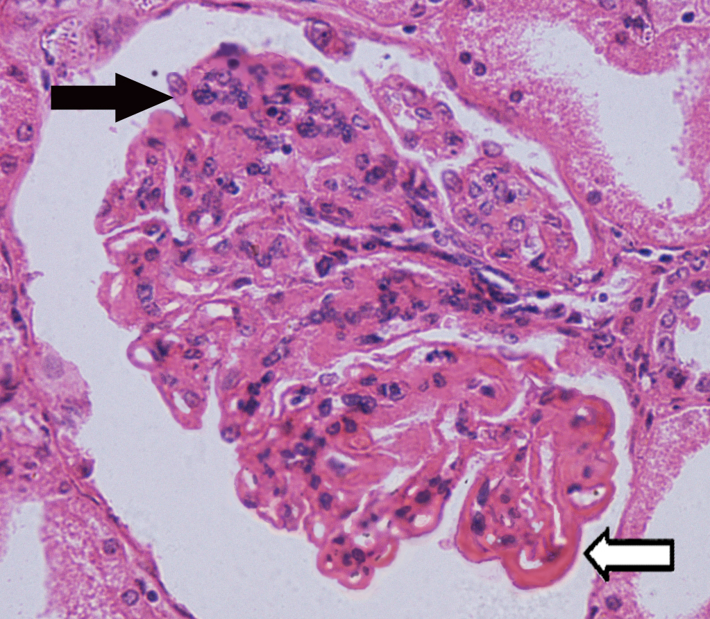
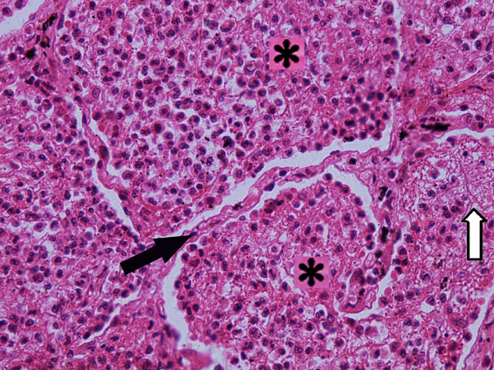
1.急性肾小球肾炎
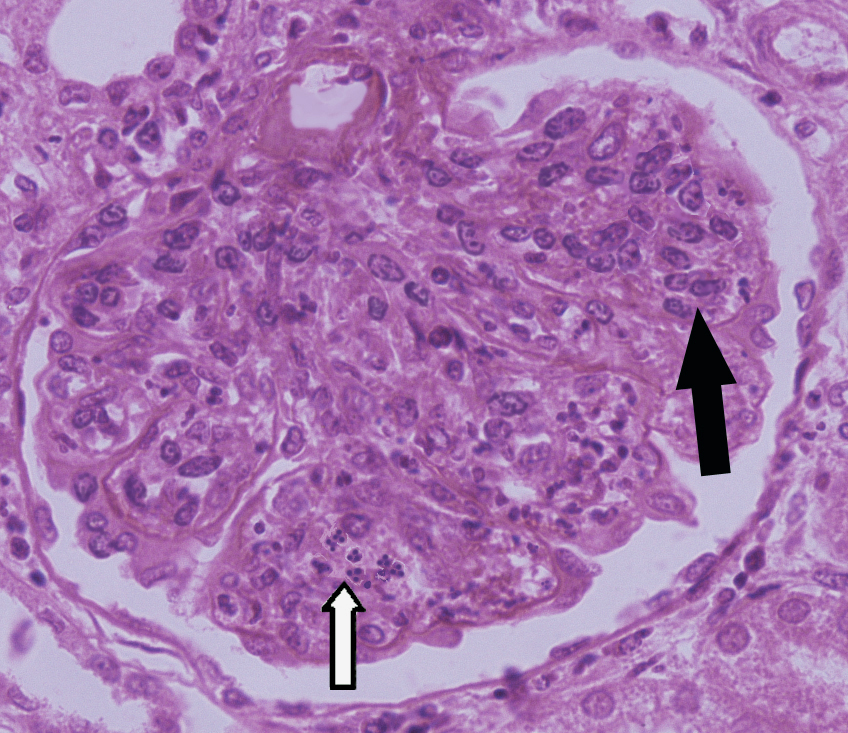
2.新月体性肾炎
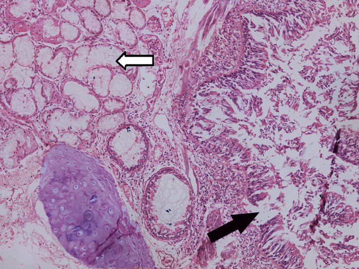
3.急性肾盂肾炎
1.肺机会性感染
2.狼疮性肾炎
第一页
<<上一页
下一页>>
尾页
页码
9
/
14
Copy.Right@2014 2026年足球世界杯直播基础医学院病理学系
地址:上海市徐汇区医学院路138号东一号楼
友情链接:
上海市红十字会:http://www.redcross-sha.org/Home/
欢迎关注我们的
微信公众号
扫一扫
Copy.Right@2014 2026年足球世界杯直播基础医学院病理学系
地址:上海市徐汇区医学院路138号东一号楼
总访问量:
map