设为首页
|
加入收藏
导航
Open Menu
网站首页
馆藏标本
教学标本
教学切片
疾病科普
场馆布置
参观须知
联系我们
网站首页
馆藏标本
教学标本
教学切片
疾病科普
场馆布置
参观须知
联系我们
教学切片
高倍视野
低倍视野
>中文版
>English
低倍视野
您所在的位置:
首页
教学切片
低倍视野
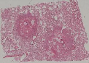
75.慢性硬化性肾小球肾炎
76.急性肾盂肾炎
77.慢性肾盂肾炎
41.肺机会性感染
71.急性肾移植排异反应
72.狼疮性肾炎
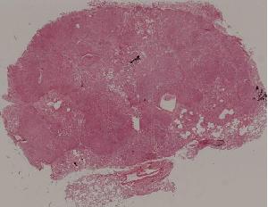
36.恶性淋巴瘤
80.乳腺浸润性导管癌
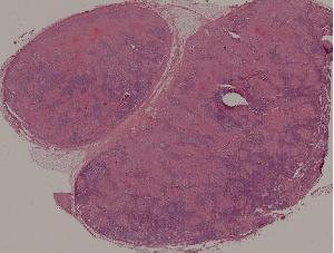
84.Graves病
93.流行性脑脊髓膜炎
94.乙型脑炎
88.慢性纤维空洞性肺结核
89.淋巴结结核
90.皮肤瘤型麻风
91.结核样性麻风
92.肠伤寒
95.脊髓灰质炎
96.肺曲菌病
97.结肠阿米巴病
98.结肠血吸虫病
第一页
<<上一页
下一页>>
尾页
页码
8
/
9
Copy.Right@2014 2026年足球世界杯直播基础医学院病理学系
地址:上海市徐汇区医学院路138号东一号楼
友情链接:
上海市红十字会:http://www.redcross-sha.org/Home/
欢迎关注我们的
微信公众号
扫一扫
Copy.Right@2014 2026年足球世界杯直播基础医学院病理学系
地址:上海市徐汇区医学院路138号东一号楼
总访问量:
map