设为首页
|
加入收藏
导航
Open Menu
网站首页
馆藏标本
教学标本
教学切片
疾病科普
场馆布置
参观须知
联系我们
网站首页
馆藏标本
教学标本
教学切片
疾病科普
场馆布置
参观须知
联系我们
教学切片
高倍视野
低倍视野
>中文版
>English
English
您所在的位置:
首页
教学切片
低倍视野
English
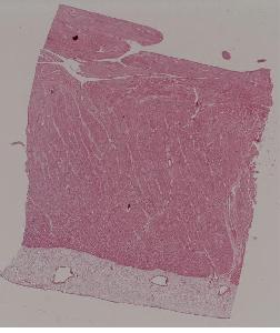
1. Brown atrophy and hypertrophy of myocardium
2. Cloudy swelling of renal convoluted tubules
3. Fatty degeneration of liver cells
4. Hyaline degeneration of splenic capsule
5. Fibrinoid necrosis of the arteriolar wall
6. Coagulation necrosis of the liver
7. Liquefaction necrosis of the brain
10. Congestion of the liver
11. Congestive fibrosis of the liver
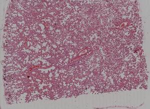
12. Acute pulmonary congestion
13. Chronic pulmonary congestion
14. Mixed thrombus
15. Organized thrombus
16. Ischemic infarct of the kidney
17. Hemorrhagic infarct of the lung
18. pseudomembranous enteritis
19.Phlegmonous appendicitis
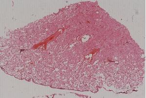
20. Abscess of the lung
21. Chronic tonsillitis
22. Chronic inflammation of cervix
第一页
<<上一页
下一页>>
尾页
页码
1
/
5
Copy.Right@2014 2026年足球世界杯直播基础医学院病理学系
地址:上海市徐汇区医学院路138号东一号楼
友情链接:
上海市红十字会:http://www.redcross-sha.org/Home/
欢迎关注我们的
微信公众号
扫一扫
Copy.Right@2014 2026年足球世界杯直播基础医学院病理学系
地址:上海市徐汇区医学院路138号东一号楼
总访问量:
map