设为首页
|
加入收藏
导航
Open Menu
网站首页
馆藏标本
教学标本
教学切片
疾病科普
场馆布置
参观须知
联系我们
网站首页
馆藏标本
教学标本
教学切片
疾病科普
场馆布置
参观须知
联系我们
教学切片
高倍视野
低倍视野
>中文版
>English
English
您所在的位置:
首页
教学切片
低倍视野
English
23. Inflammatory polyp
24. Granulomatous inflammation of the lung ( miliary tuberculosis of the lung)
8. Granulation tissue
9. Healing of skin by first intention
27. Squamous cell carcinoma of the esophagus
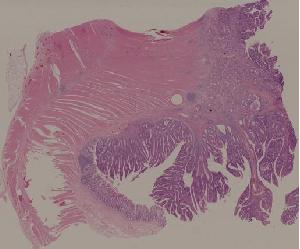
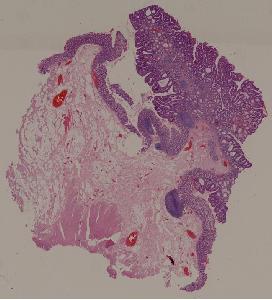
28. Adenoma of the colon
29. Adenocarcinoma of the colon
33. Papillar transitional carcinoma of the bladder
34. Osteosarcoma
36. Lymphoma
39. oligodendroglioma of the brain
39-1. Astrocytoma
39-2. Astrocytoma
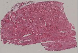
42. Rheumatic pancarditis
43. Subacute bacterial endocarditis
44. Arteriolosclerosis of kidney
45. Atherosclerosis of aorta
46. Coronary atherosclerosis
47. Myocardial infarction
48. Viral myocarditis
第一页
<<上一页
下一页>>
尾页
页码
2
/
5
Copy.Right@2014 2026年足球世界杯直播基础医学院病理学系
地址:上海市徐汇区医学院路138号东一号楼
友情链接:
上海市红十字会:http://www.redcross-sha.org/Home/
欢迎关注我们的
微信公众号
扫一扫
Copy.Right@2014 2026年足球世界杯直播基础医学院病理学系
地址:上海市徐汇区医学院路138号东一号楼
总访问量:
map