设为首页
|
加入收藏
导航
Open Menu
网站首页
馆藏标本
教学标本
教学切片
疾病科普
场馆布置
参观须知
联系我们
网站首页
馆藏标本
教学标本
教学切片
疾病科普
场馆布置
参观须知
联系我们
教学切片
高倍视野
低倍视野
>中文版
>English
English
您所在的位置:
首页
教学切片
低倍视野
English
76. Acute pyelonephritis
77. Chronic pyelonephritis
41. Opportunistic infection in the lung
71. Acute transplant rejection of kidney
72. Lupus nephritis
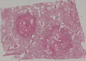
36. Lymphoma
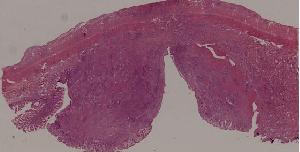
80. Invasive ductal cancer of the breast
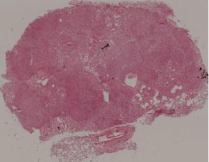
84.Graves disease
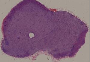
93. Epidemic cerebrospinal meningitis
94. Encephalitis type B
88. Chronic cavitary tuberculosis of the lung
89. Tuberculous lymphadenitis
90. Lepromatous leprosy of the skin
91. Tuberculoid leprosy
92. Typhoid fever of intestine
95. Poliomyelitis
96. Pulmonary aspergillosis
97. Amebic colitis
98. Schistosomiasis of the colon
99. Experimental acute schistosomiasis of the liver (rabbit)
第一页
<<上一页
下一页>>
尾页
页码
4
/
5
Copy.Right@2014 2026年足球世界杯直播基础医学院病理学系
地址:上海市徐汇区医学院路138号东一号楼
友情链接:
上海市红十字会:http://www.redcross-sha.org/Home/
欢迎关注我们的
微信公众号
扫一扫
Copy.Right@2014 2026年足球世界杯直播基础医学院病理学系
地址:上海市徐汇区医学院路138号东一号楼
总访问量:
map