设为首页
|
加入收藏
导航
Open Menu
网站首页
馆藏标本
教学标本
教学切片
疾病科普
场馆布置
参观须知
联系我们
网站首页
馆藏标本
教学标本
教学切片
疾病科普
场馆布置
参观须知
联系我们
教学切片
高倍视野
低倍视野
>中文版
>English
低倍视野
您所在的位置:
首页
教学切片
低倍视野
100. Pile-stem liver fibrosis of schistosomiasis
1.心肌褐色萎缩心肌肥大
2.肾曲管上皮混浊肿胀
3.肝细胞脂肪变性
4.脾包膜玻璃样变
5.血管壁纤维样坏死
6.肝细胞凝固性坏死
7.脑液化性坏死
10.肝淤血
11.淤血性肝纤维化
12.急性肺淤血
13.慢性肺淤血
14.混合血栓
15.机化血栓
16.肾贫血性梗死
17.肺出血性梗死
18.假膜性肠炎
19.蜂窝织性阑尾炎
20.肺脓肿
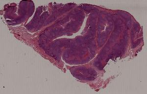
21.慢性扁桃体炎
第一页
<<上一页
下一页>>
尾页
页码
5
/
9
Copy.Right@2014 2026年足球世界杯直播基础医学院病理学系
地址:上海市徐汇区医学院路138号东一号楼
友情链接:
上海市红十字会:http://www.redcross-sha.org/Home/
欢迎关注我们的
微信公众号
扫一扫
Copy.Right@2014 2026年足球世界杯直播基础医学院病理学系
地址:上海市徐汇区医学院路138号东一号楼
总访问量:
map