设为首页
|
加入收藏
导航
Open Menu
网站首页
馆藏标本
教学标本
教学切片
疾病科普
场馆布置
参观须知
联系我们
网站首页
馆藏标本
教学标本
教学切片
疾病科普
场馆布置
参观须知
联系我们
教学切片
高倍视野
低倍视野
>中文版
>English
低倍视野
您所在的位置:
首页
教学切片
低倍视野
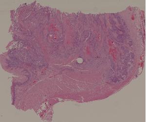
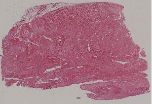
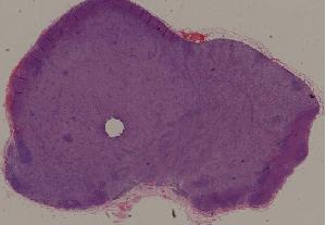
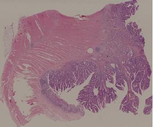
22.慢性宫颈炎
23.炎性息肉
24.肺肉芽肿性炎(肺粟粒性结核)
8.肉芽组织
9.皮肤一期愈合
27.食管鳞形细胞癌
28.结肠腺瘤
29.结肠腺癌
33.膀胱乳头状移行细胞癌
34.骨肉瘤
36.恶性淋巴瘤
39.少突胶质细胞瘤
39-1.星形胶质细胞瘤
39-2.星形胶质细胞瘤
42.风湿性全心炎
43.亚急性细菌性心内膜炎
44.肾动脉硬化
45.主动脉粥样硬化
46.冠状动脉粥样硬化
47.心肌梗死
第一页
<<上一页
下一页>>
尾页
页码
6
/
9
Copy.Right@2014 2026年足球世界杯直播基础医学院病理学系
地址:上海市徐汇区医学院路138号东一号楼
友情链接:
上海市红十字会:http://www.redcross-sha.org/Home/
欢迎关注我们的
微信公众号
扫一扫
Copy.Right@2014 2026年足球世界杯直播基础医学院病理学系
地址:上海市徐汇区医学院路138号东一号楼
总访问量:
map